Zimmer Persona: Advanced Partial Knee Replacement
The Zimmer Persona platform delivers bone-preserving, ligament-sparing solutions for patients with isolated knee compartment arthritis. Enjoy faster recovery and superior outcomes.

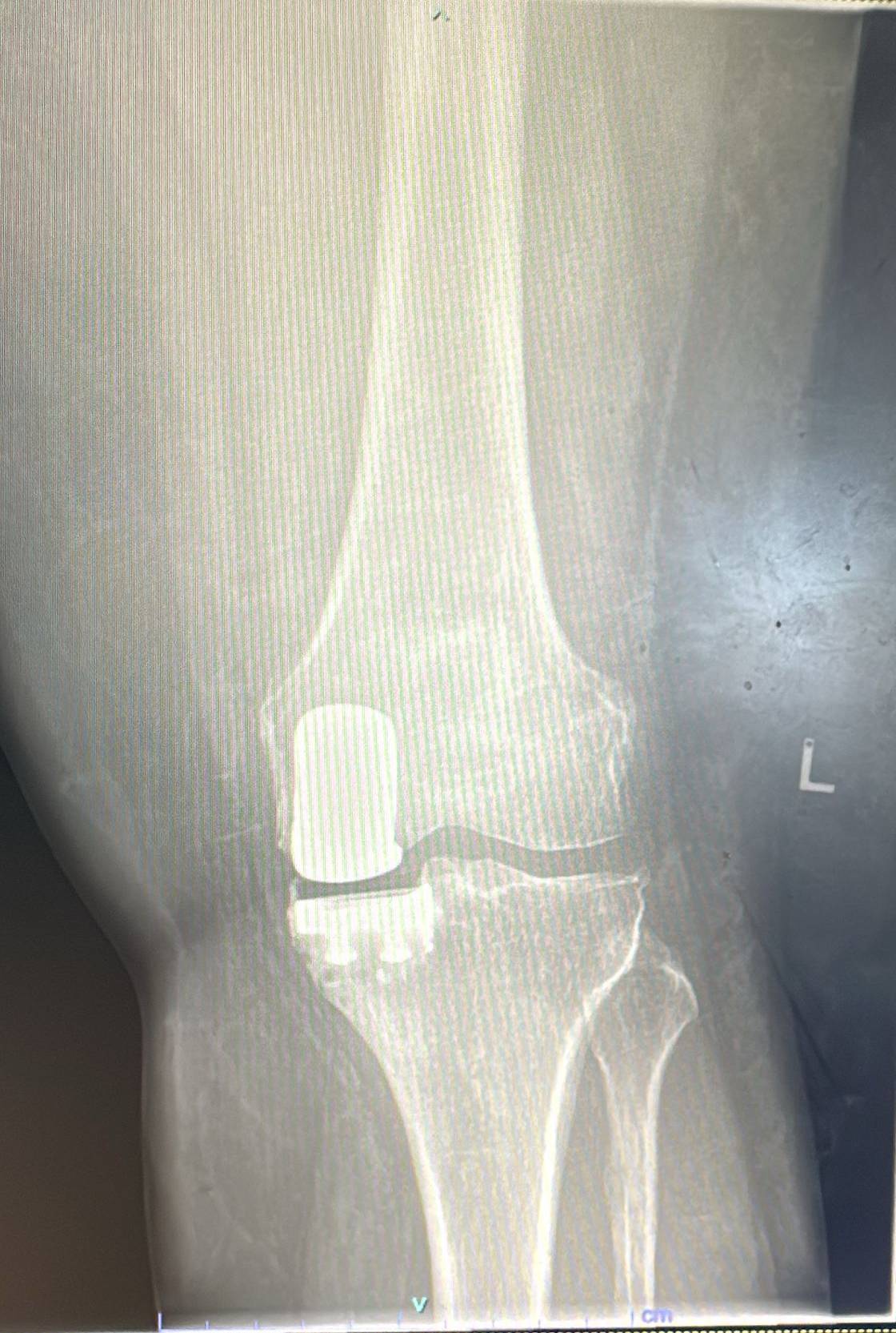
What is Zimmer Persona Partial Knee Replacement?
Zimmer Persona is an advanced partial knee replacement system designed for patients with arthritis limited to one compartment of the knee. It preserves healthy bone and natural ligaments while providing excellent pain relief and functional outcomes.
Key Features & Benefits
Bone-Preserving Design
Conserves healthy bone, ideal if future conversion to total knee replacement needed
Smaller Incision
Minimally invasive approach with reduced soft tissue trauma
Natural Movement
Preserves normal knee kinematics and ligament function
Faster Recovery
Compared to total knee replacement, recovery is significantly quicker
Advanced Technology
Zimmer's latest design provides excellent longevity and outcomes
Active Lifestyle
Many patients return to sports and high-impact activities
Surgical Approach
Patient Selection
Ensuring you are an ideal candidate
- ✓Isolated single-compartment arthritis confirmed
- ✓Intact anterior cruciate ligament (ACL)
- ✓Good bone quality and alignment
- ✓Realistic expectations and good overall health
Surgical Technique
Precision implantation using advanced methods
- ✓Minimally invasive incision (3-4 inches)
- ✓Preservation of healthy bone and ligaments
- ✓Computer-assisted navigation for accuracy
- ✓Zimmer Persona implant insertion and alignment
Rapid Rehabilitation
Quick return to function with proven protocol
- ✓✓ Walking within 24 hours
- ✓✓ Early physiotherapy engagement
- ✓✓ Progressive activity advancement
- ✓✓ Return to work and activities within 6-8 weeks
Partial vs Total Knee Replacement
Zimmer Persona (Partial)
- ✓ Preserves healthy bone
- ✓ Ligaments remain intact
- ✓ Faster recovery (6-8 weeks)
- ✓ Smaller incision
- ✓ More natural knee feel
Total Knee Replacement
- ✓ Addresses entire knee
- ✓ Excellent for advanced arthritis
- ✓ Highly durable solution
- ✓ Good for multi-compartment disease
- ✓ More extensive surgery
Recovery Timeline
Week 1: Immediate Recovery
- Walking with walker or crutches
- Pain well-controlled with medication
- Begin physiotherapy exercises
- Regular ice and elevation
Weeks 2-4: Rapid Improvement
- Transition to cane or independent walking
- Swelling reduces quickly
- Physiotherapy 2-3 times weekly
- Stair climbing possible with support
Weeks 6-8: Return to Function
- Walking independently without aids
- Return to work and light activities
- Range of motion nearly complete
- Pain minimal with normal activities
Weeks 12+: Active Living
- Return to recreational activities
- Hiking, golf, cycling possible
- Some patients resume sports
- Maximum functional benefit achieved
Quick Facts
Procedure Time
45-60 min
Hospital Stay
1 night
Walking Again
24 hours
Full Recovery
6-8 weeks
Implant Life
25-30+ years

